支援肝膽胰臟和肺部
為 EUS 提供無與倫比的解決方案
精密診斷影像
進階診斷功能
使用者體驗優化
新增SWQ

Improved Diagnostic Imaging
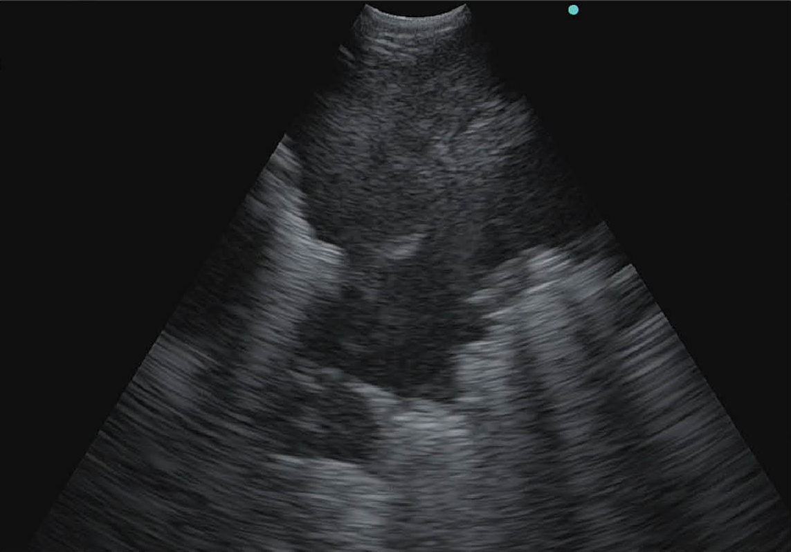
使用 B 模式或更高階的THE模式生成超音波影像
B 模式
與EU-ME2相比,解析度和穿透深度均有所提升。
以下為兩款機型分別連接 BF-UC290F 的畫面。


THE 模式
利用高諧波提升影像解析度,減少偽影(Artifacts),以精準診斷膽囊、膽管。

CHE 模式
將超音波造影劑的散射訊號影像化,使組織內的血流更容易觀察。(左:EU-ME2、右:EU-ME3)

Shear Wave Quantification
透過聲輻射壓力使組織發生位移,並計算組織恢復原狀時產生的剪切波傳播速度,從而提供有關組織硬度的定量資訊。


i-ELST
即使心跳或脈搏引起的位移很小,也能顯示彈性影像;支援EBUS對縱膈腔淋巴結的診斷。
s-FOCUS
手術過程無需手動調整焦點。

Focused on Your Expertise
高階功能整合於小巧的主機

